Humeral Shaft Fracture Fixation

X-ray image showing a humerus with surgical plates and screws indicating a surgical repair of a fracture. - Dr. Kevin Wall, Richmond, VA

The Goal

Dr. Kevin Wall provides specialized, fellowship-trained surgical treatment for Humeral Shaft Fractures to restore function and relieve pain for patients in Richmond, VA, and the surrounding Central Virginia communities.The goal of humeral shaft fixation is to realign the "arm bone" and provide rigid stability so that the humerus fracture can heal while allowing for early motion of the shoulder and elbow. While many humerus fractures can be treated in a functional brace, surgery is often indicated for fractures that are severely displaced, unstable, or associated with nerve injuries. By using an internal, metal plate "scaffold" we can prevent the bone from healing in a crooked position (malunion) and minimize the risk of joint stiffness caused by prolonged bracing.

The Procedure:

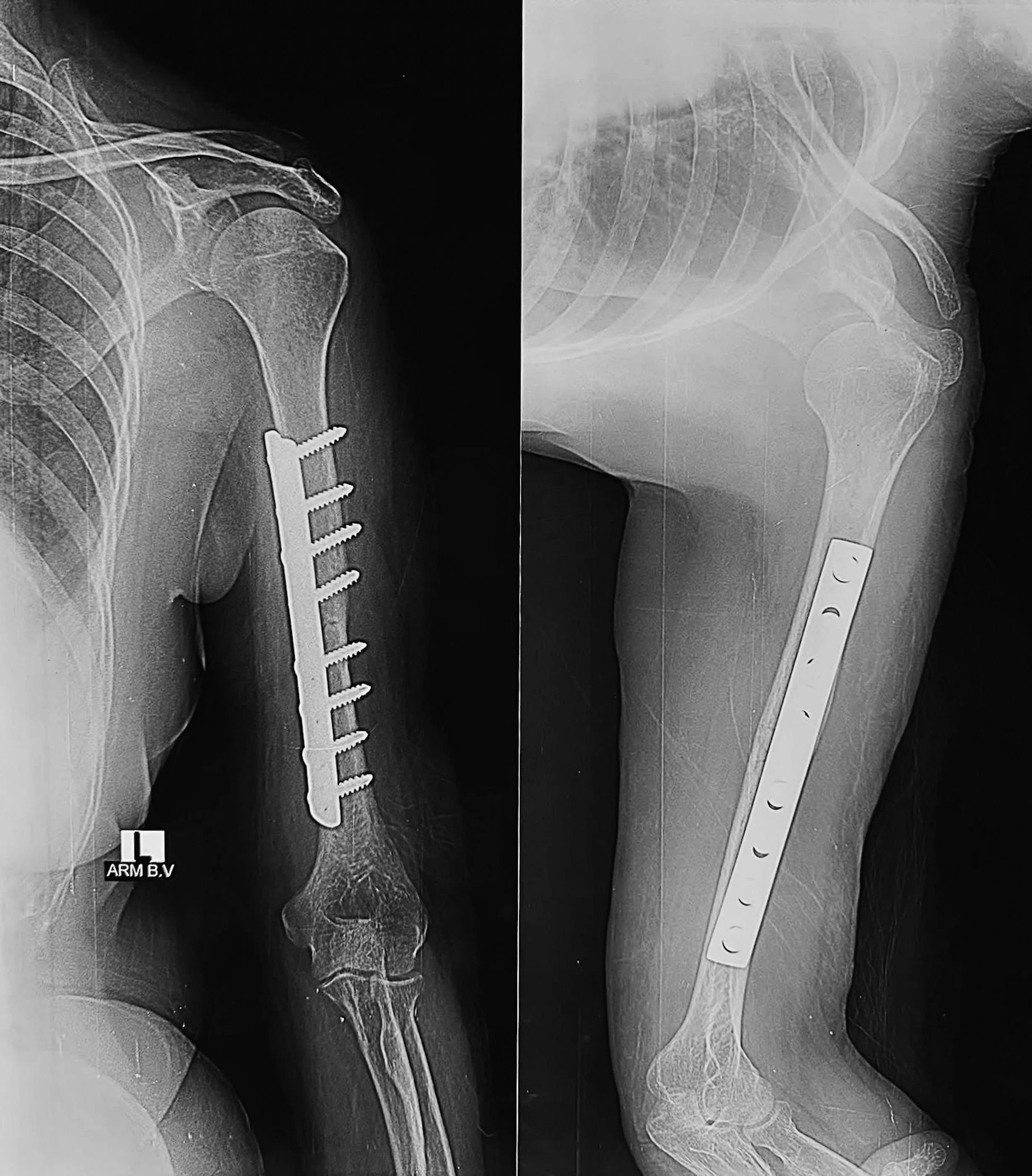
1. Open Reduction Internal Fixation (Plating)

  • The Approach: A longitudinal incision is made along the arm to directly expose the fracture. This can be made on the front or back of the arm depending on the fracture and patient and surgeon preference.

  • Fixation: A long, contoured titanium or stainless steel plate is secured to the bone with multiple screws.

  • Advantage: This is the "gold standard" for most fractures. it allows for the most precise realignment of the bone and is the preferred method if the radial nerve needs to be inspected or protected.

2. Intramedullary Nailing (Rodding)

  • The Approach: Performed through small incisions, mostly at the top of the shoulder.

  • Fixation: A hollow metal rod (nail) is inserted into the center of the bone canal, through the realigned fracture, and locked in place with screws at the top and bottom.

  • Advantage: This is a "minimally invasive" option that is often ideal for patients with poor skin quality, certain types of "segmental" fractures, or bone weakened by osteoporosis or tumors.

Post-Op Protocol

The exact post-op PT protocol will depend on what type of fixation was used but both options consist generally of a period of relative immmobilization with a sling during which some safe shoulder and elbow motion is encouraged. After approximately 6 weeks, progressive exercises are done with a therapist to restore full range of motion and around 3 months patients will begin strengthening their arm again.

When to Seek Care

You should schedule a consultation if:

  • You have sustained a fracture and are struggling to maintain alignment in a brace.

  • You experience "wrist drop" or an inability to lift your thumb/fingers following a humerus injury (this may indicate a radial nerve palsy).

  • You feel a painful clicking or "moving" sensation in your arm weeks after the initial injury.